Bem vindo a nossa clínica
A OdontoMed Prime é um centro integrado de saúde que une odontologia, especialidades médicas e atendimento multiprofissional em um único espaço.
Aqui você encontra cuidado completo da saúde bucal ao acompanhamento médico e bem-estar com tecnologia, segurança e responsabilidade.
Missão
Cuidar de pessoas com segurança, humanidade e excelência em todas as fases da vida.
Essa missão reflete nossa essência:
- Cuidamos de pessoas, não apenas de tratamentos
- Segurança nunca é negociável
- Humanidade vem antes de qualquer protocolo
- Excelência é padrão, não diferencial opcional
Profissionais experientes
Nossa clínica é composta por profissionais dedicados e comprometidos com a saúde de nossos pacientes.

Especialidades Médicas
- Clínica geral
- Cardiologia (consultas e exames)
- Ginecologista
- Nutricionista
- Ortopedia
- Psicologia
- Ultra-Sonografia
+(91) 99124-3754

Radiologia Odontológica Integrada
Excelência em diagnosticos de imagem
Urna habitasse imperdiet! Aut, deleniti nisl, varius? Nunc, iure iure nunc sit mi ducimus atque nostrum iure ducimus quae dolore. Massa sapien at do ipsum nostra adipisicing.
rutrum fugiat doloribus, dolor, ipsa commodi doloremque do senectus neque molestiae dis nisi euismod, diam illo incididunt dignissim expedita.
Contato
91-98506 1928


Alguns de nosso exames radiológicos
Tomografia Cone Beam
Exame 3D que oferece visão detalhada da região bucal e facial, permitindo diagnósticos mais precisos e maior segurança no planejamento de implantes, cirurgias e outros tratamentos.

Raio-x Periapical e Bite-wing (interproximal)
Exame que mostra o dente completo e suas estruturas de suporte para diagnóstico preciso de alterações e infecções, e melhor vizualização de cáries.

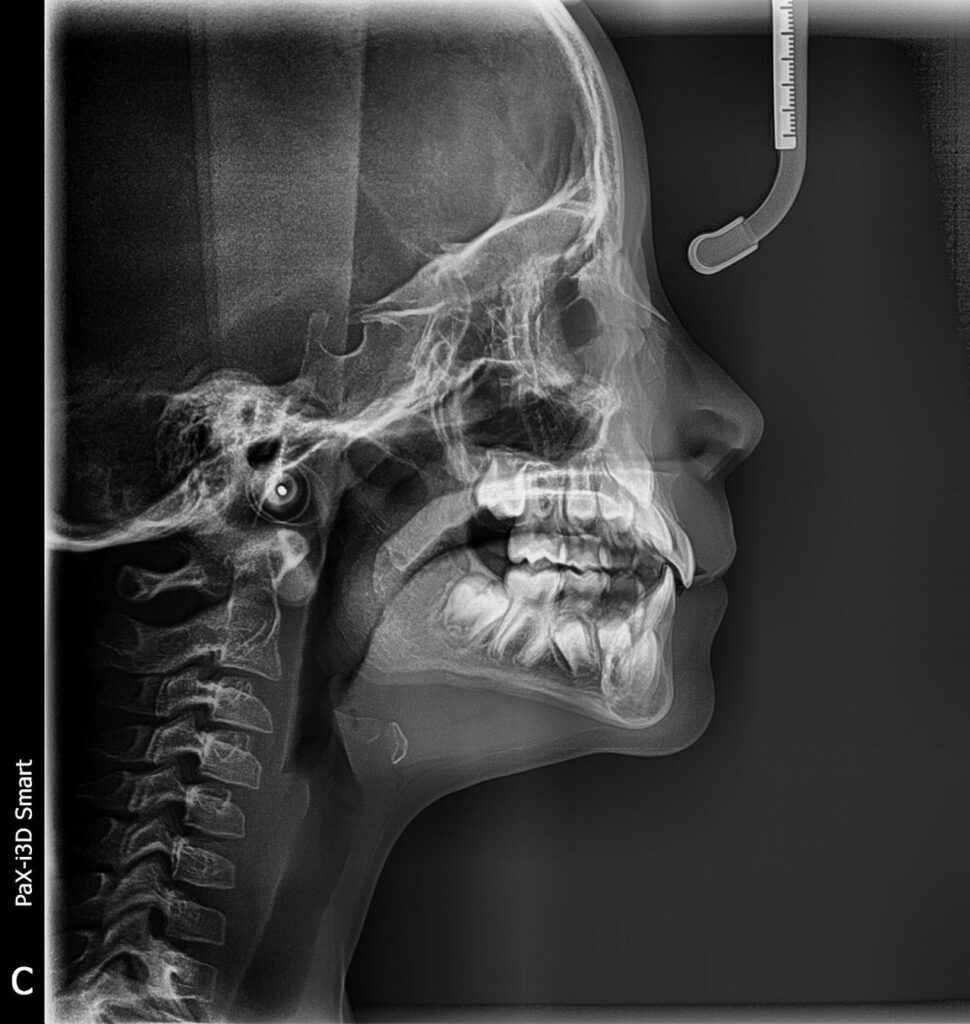
Raio-x Panorâmico e teleradiografia
Panorâmico
fornece visão de toda a arcada dentária para avaliação geral da saúde bucal.
Telerradiografia lateral analisa o perfil ósseo facial e o posicionamento dos dentes, auxiliando no diagnóstico e planejamento ortodôntico


Raio x de mão e unho (carpal)
Exame que avalia a maturidade óssea por meio da análise da mão e punho, auxiliando no planejamento ortodôntico e verificando estagio de crescimento.

Raio-x Odontológico é uma forma de prevenção da saúde bucal
Tratamentos Odontológicos
Alguns dos nossos principais tratamentos
01
Profilaxia e Raspagem
Limpeza profissional feita no consultório para remover placa bacteriana, manchas e início de tártaro, ajudando a prevenir cáries e doenças na gengiva.
02
Restaurações
É o procedimento que recupera a parte do dente afetada por cárie ou fratura, devolvendo forma, função e estética..
03
Tratamento Endodontico (Canal)
Procedimento que remove a infecção interna do dente, preservando sua estrutura e eliminando a dor.
04
Cirurgias, extração Simples, complexas e de SISOS
São procedimentos para remover dentes comprometidos simples quando o dente está visível, complexas quando há dificuldade de acesso.
05
Implantes dentários
Procedimento que substitui dentes perdidos com segurança, devolvendo função, estética e estabilidade ao sorriso.
06
Clareamento
Tratamento estético que clareia os dentes com segurança, devolvendo brilho e uniformidade ao sorriso.
07
Ortopedia e Ortodontia (Aparelhos)
Tratamento que corrige o posicionamento dos dentes e da mordida, promovendo alinhamento, função e estética.
08
Botox
Aplicação que suaviza rugas e linhas de expressão, promovendo rejuvenescimento facial com naturalidade.
09
Preenchedores
Procedimento estético que restaura volume e contornos faciais com naturalidade, promovendo harmonização e rejuvenescimento.
Entre Outros Procedimentos como :
Tire suas duvidas ou agende sua consulta
Depoimentos
Além de resultados, também criamos laços com nossos pacientes.
Esse tipo de feedback é como combustivel pra nossa equipe, que fica sempre feliz em servir Bem.








